Dental Blog - Portland, OR
Tips, Facts, And The
Latest In Dentistry
2025-12-05
For many patients, the journey to a new smile begins long before they sit in our chair. This month’s featured case highlights a remarkable transformation using […]
2025-11-07
Patient Story At Centerport Cosmetic & Implant Dentistry in downtown Portland, we recently completed a full digital smile transformation for a 54-year-old patient who came to us […]
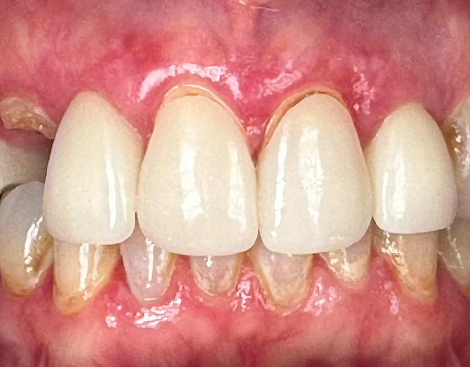
2025-10-17
At Centerport Cosmetic & Implant Dentistry, we take pride in transforming not only smiles but also lives. This month’s featured case showcases the power of modern […]
2025-07-18
Teeth whitening can dramatically brighten your smile, but for people with sensitive teeth, the process requires extra caution to avoid discomfort and damage. In this guide, […]
2025-07-16
A full mouth reconstruction is a personalized plan that gives a complete makeover to your teeth, changing how they look, feel, and function. If you are […]
2025-06-18
When it comes to restoring your smile and ensuring long-term oral health, few solutions are as effective and lasting as full mouth dental implants. Unlike traditional […]
2025-06-16
A bright smile is often considered a key part of a confident and radiant appearance. As teeth whitening becomes increasingly popular, many patients want to know […]
2025-04-23
A confident smile can make a world of difference in self-esteem and social interactions. However, for some individuals, excessive gum display—commonly referred to as a "gummy […]
2025-04-23
When Josh, a 43-year-old professional, came to our office, he had grown increasingly self-conscious about his smile. His teeth showed signs of moderate to heavy wear, […]
2025-04-22
When it comes to cosmetic dentistry, every smile has a story, and we’re here to help our patients rewrite theirs. One of our recent cases involved […]










