
Case of the Month - October 2025: Full-Mouth Rehabilitation for a Natural, Confident Smile in Downtown Portland
2025-10-17
Case of the Month: A Life-Changing Full Mouth Rehabilitation With All-on-X & Smile Makeover
2025-12-05Patient Story
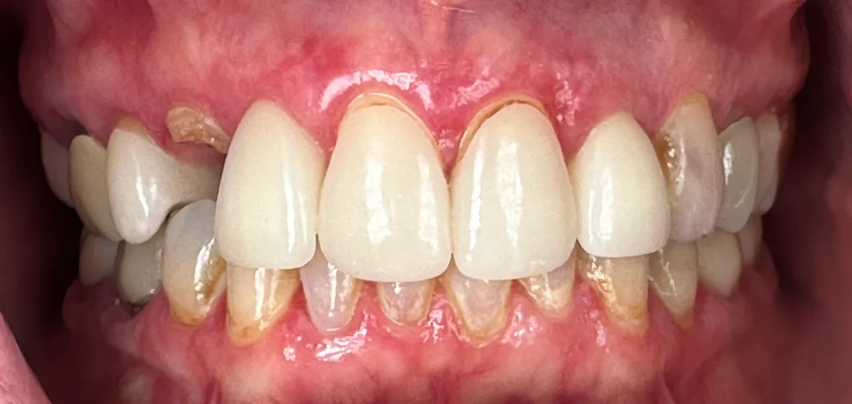
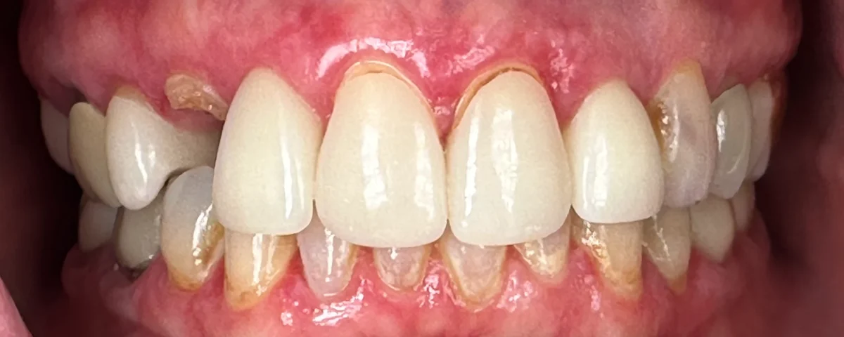
At Centerport Cosmetic & Implant Dentistry in downtown Portland, we recently completed a full digital smile transformation for a 54-year-old patient who came to us feeling embarrassed about her smile. She had a fractured upper right canine (#6) that broke down to the gum line and an upper left lateral incisor (#10) that “felt weird and loose.”
After a thorough exam, we discovered that both #6 and #10 were non-restorable. Tooth #6 had fractured too far below the gum line to save, and #10 had an old root canal and crown with recurrent decay and Class II mobility, making it a poor candidate for restoration. Her other upper front teeth (#7-9) had leaky margins, mismatched crowns, and visible recurrent decay, while #11 had a large cavity.
She told us, “I just want to smile again without being ashamed.” That simple statement set the tone for this smile makeover — combining digital smile design and dental implants to restore her confidence and function.
Digital Planning & Smile Design
As a cosmetic dentist in Portland OR specializing in advanced digital workflows, we began with a comprehensive data-driven assessment:
- CBCT scan for 3-D bone evaluation and digital implant planning
- Intraoral scans to capture the exact shape of her teeth and bite
- Facial scans and digital photography to integrate her smile into her natural facial proportions
- Digital Smile Design software to preview her new smile before any treatment began
Using this digital data, we created a virtual treatment plan that allowed us to digitally place and plan the dental implants for #6 and #10 with millimeter precision. We used the BiHorizon implant system, known for its predictable integration and aesthetic soft-tissue outcomes. By positioning the implants strategically through guided surgery, we were able to preserve both bone and soft tissue—eliminating the need for additional grafting.
Treatment Process
- Extractions & Guided Implant Placement:
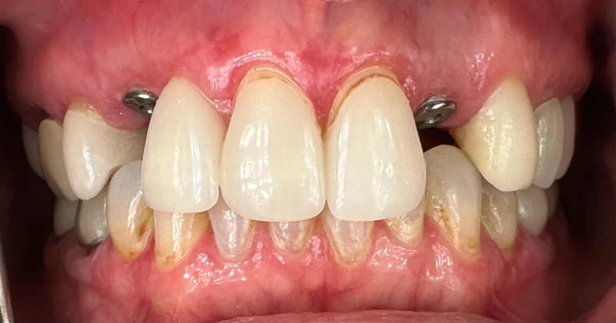
We removed teeth #6 and #10 and placed dental implants immediately following the digitally guided plan. This minimally invasive approach helped preserve the patient’s bone contour and gingival health. - Healing & Integration:
The implants were allowed to heal and integrate with the jawbone over four months. During this time, the patient wore a comfortable temporary restoration that maintained her smile and function. - Restorative Phase:
Once integration was complete, we prepared the remaining anterior teeth and captured digital impressions for the implant abutments and adjacent natural teeth. - Final Smile Delivery:
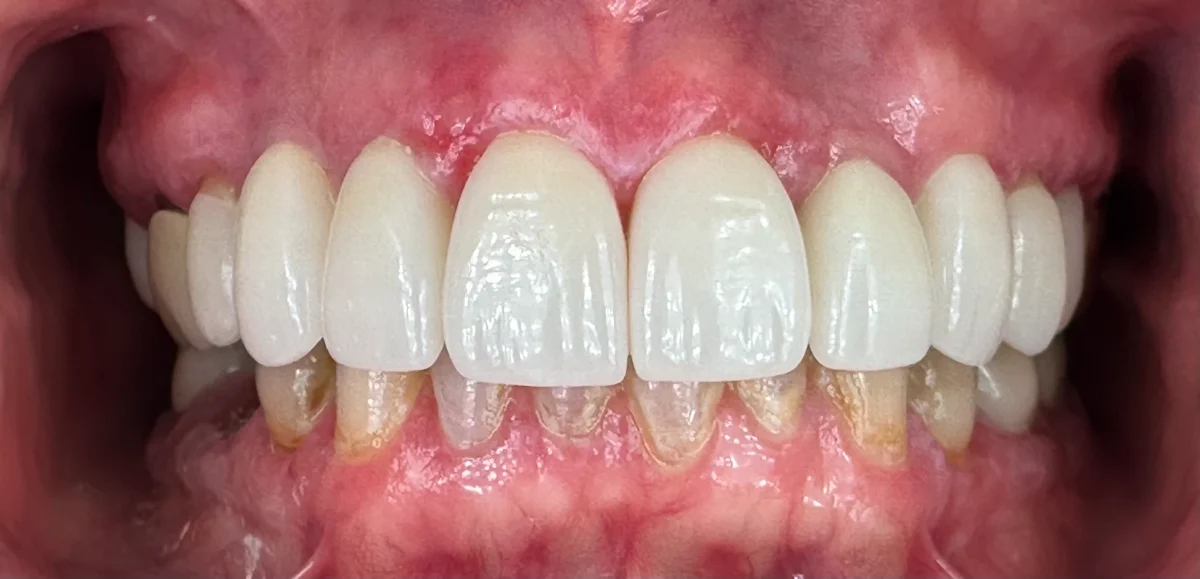
The final restorations were custom-milled zirconia crowns, chosen for their exceptional strength, translucency, and natural esthetics. Within two weeks, the patient received her new smile — radiant, balanced, and life-changing.
Results
The outcome speaks for itself. Her new smile is symmetrical, bright, and perfectly integrated with her facial features. The patient was thrilled, saying she finally feels proud to smile again — a true testament to what cosmetic dentistry and dental implants in Portland OR can achieve through digital precision.



Clinical Reflection
This case demonstrates how digital implant dentistry and cosmetic smile design can come together to deliver both beauty and function. By leveraging CBCT-guided implant placement and zirconia restorations, we achieved a stable, aesthetic, and long-lasting result — all through a seamless digital workflow.
At Centerport Cosmetic & Implant Dentistry, we take pride in transforming smiles with precision, artistry, and compassion.
Interested in a digital smile transformation?
Schedule your personalized consultation today with Dr. Benjamin Wang, DMD, your trusted cosmetic and implant dentist in downtown Portland, Oregon.

