
Transforming a Smile: A Full Mouth Rehabilitation Story
2025-04-23
Is Teeth Whitening Safe? What Centerport Patients Need to Know
2025-06-16A confident smile can make a world of difference in self-esteem and social interactions. However, for some individuals, excessive gum display—commonly referred to as a "gummy smile"—can make them feel self-conscious. This case study highlights how crown lengthening can enhance smile aesthetics by exposing more tooth structure and creating a balanced gum contour.
Patient Background
Our patient, a female in her mid-20s, had long been self-conscious about her gummy smile. Her upper front teeth appeared short and squatty due to excessive gum tissue. Additionally, her gum line had an irregular and uneven contour, making her hesitant to smile widely in social and professional settings. She sought a solution that would provide a more proportionate and aesthetically pleasing smile.
Diagnosis & Treatment Planning
A thorough clinical examination was conducted to determine the cause of her excessive gingival display. The key diagnostic steps included:

- Periodontal Probing: Measuring the gum pockets to assess the depth of excess gum tissue.
- Bone Sounding: Using a periodontal probe to determine the level of the underlying crestal bone.
This evaluation confirmed that the excess gum tissue was due to an overgrowth of crestal bone covering the upper front teeth. If the issue had been limited to excess gum tissue alone, a simple gingivectomy would have sufficed. However, since excess bone was also a contributing factor, a crown lengthening procedure was recommended to ensure a stable and natural gum contour.
The Crown Lengthening Procedure
To achieve the desired results, the following steps were taken:
- Gum Tissue Contouring with a Laser: A laser was used to carefully trim the excess gum tissue to the ideal height and contour.
- Bone Reduction with a Micro Chisel: A micro bone chisel was inserted into the gum pocket to precisely trim the underlying crestal bone to the appropriate height.
- Minimally Invasive Approach: The procedure was performed without raising a flap, which minimized trauma and significantly reduced healing time.
Post-Operative Healing & Results
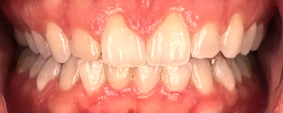
Recovery was remarkably smooth. The patient reported no post-operative pain once the local anesthesia wore off. The gum tissue exhibited mild inflammation for a few days but quickly settled down, revealing a more even and aesthetically pleasing contour. The final outcome showcased:

- Increased Tooth Display: More of the natural tooth structure was visible, creating a balanced smile.
- Harmonized Gum Line: The gum contour was even and symmetrical, complementing the patient’s facial aesthetics.
- Enhanced Confidence: The patient was thrilled with the transformation, expressing newfound confidence in her smile.
The Importance of Gum Contour in Cosmetic Dentistry
In aesthetic dentistry, the harmony between the "white" (teeth) and the "pink" (gum tissue) is crucial. The teeth need to be properly framed by the gum tissue for a smile to look natural and attractive. Crown lengthening not only improves the proportions of the teeth but also ensures that the gum line enhances, rather than detracts from, the overall smile.
Conclusion
This case illustrates how a well-executed crown lengthening procedure can dramatically improve smile aesthetics for patients with excessive gingival display. By carefully reshaping both the gum tissue and underlying bone, we were able to create a more balanced, confident, and radiant smile. If you or someone you know struggles with a gummy smile, a consultation for crown lengthening may be the first step toward a life-changing transformation!




