Call 503-228-1506
centerport-dental-logo-white

Case Studies in Portland, OR

The Dental Office You Can Trust

schedule consultation

Case Studies

case studies 1
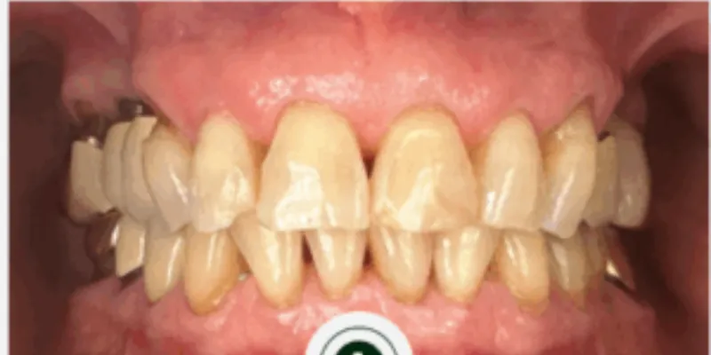
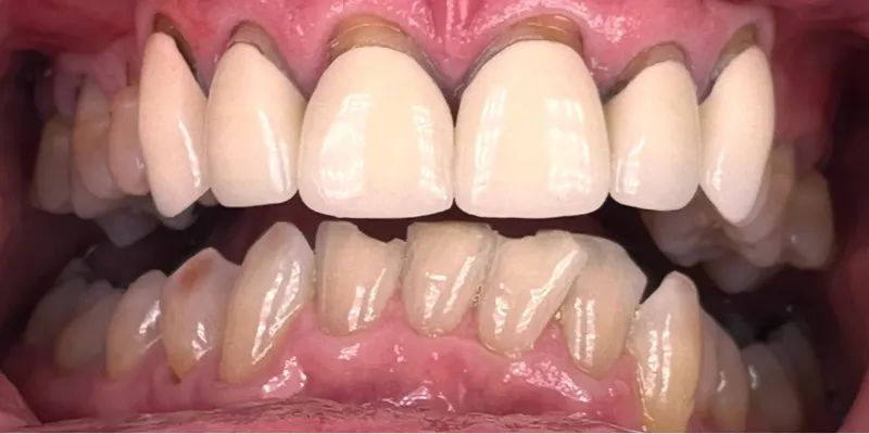
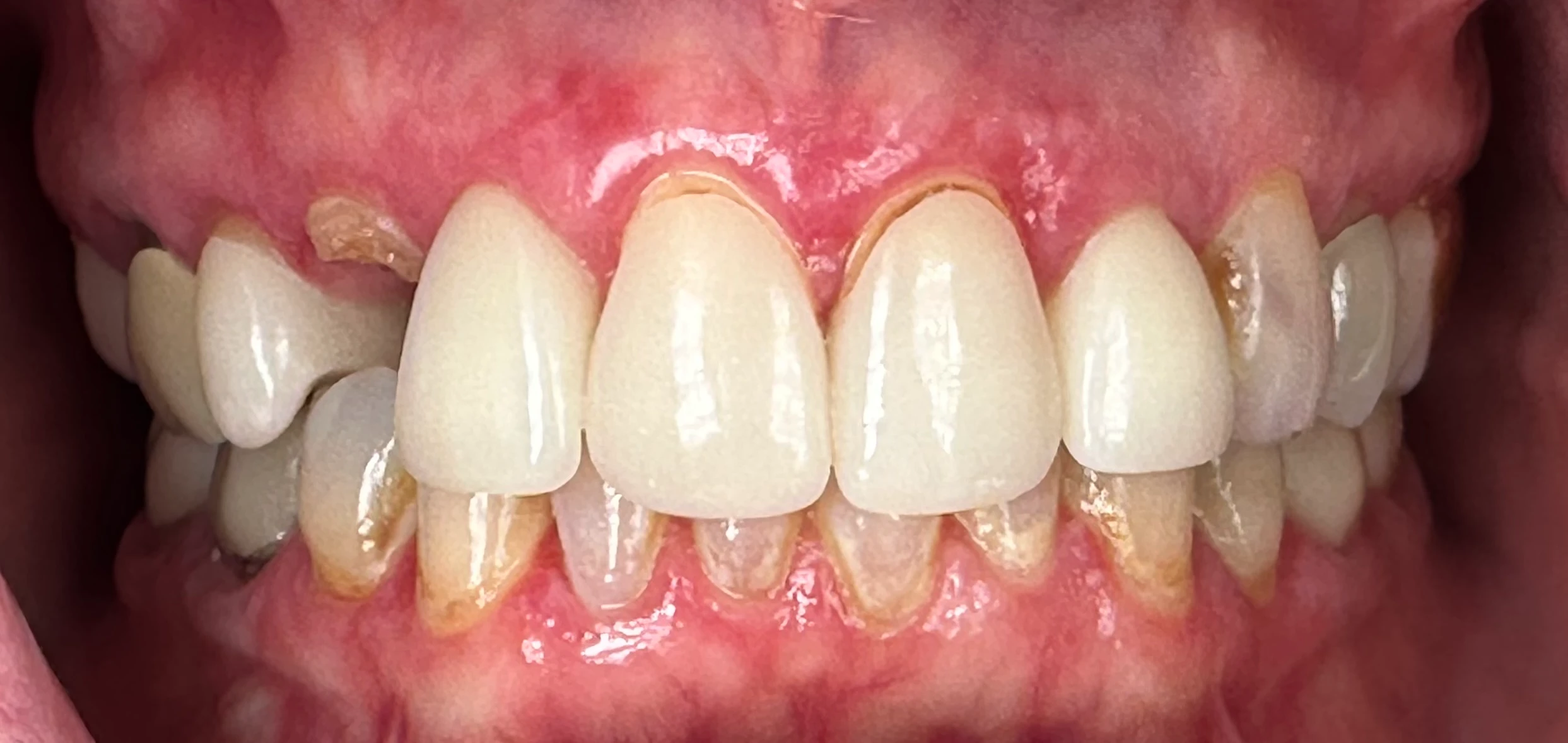
Case Study - December 2025
A Life-Changing Full Mouth Rehabilitation With All-on-X & Smile Makeover
This month’s featured case highlights a remarkable transformation using digital dentistry, digital smile design, upper arch Emax crowns, and a lower All-on-X implant-supported fixed prosthesis.
Read More
case studies 2
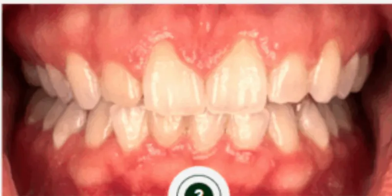
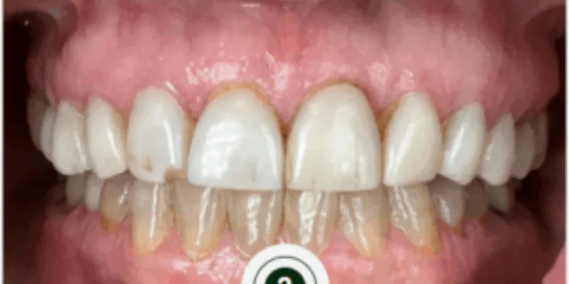
Case Study - November 2025
A Digital Smile Design and Dental Implant Transformation in Portland, OR
We recently completed a full digital smile transformation for a 54-year-old patient who came to us feeling embarrassed about her smile.
Read More
case studies 3
Case Study - October 2025
Full-Mouth Rehabilitation for a Natural, Confident Smile in Downtown Portland
At Centerport Cosmetic & Implant Dentistry, we take pride in transforming not only smiles but also lives.
Read More
case studies 4
Case Study - September 2025
Smile Makeover with Porcelain Veneers in Downtown Portland
We recently completed a smile makeover for a young female patient in her late 20s who was looking for a more confident smile.
Read More
case studies 9
Case Study - June 2024
Single Tooth Implant
We explore a remarkable transformation achieved through a single tooth implant for a 45-year-old female patient
Read More
case studies 10
Case Study - April 2025
Porcelain Veneers
Embarking on a journey of smile transformation with porcelain veneers is both an art and a science.
Read More
case studies 11
Case Study - March 2025
Transfrom Yellow, Worn, Chipped teeth
Behind every smile lies a unique story. Take a peek into the journey of one of our amazing patients who felt self-conscious about her yellow, worn, and chipped teeth.
Read More
case studies 6
Case Study - February 2025
Transforming a Gummy Smile with Crown Lengthening
A confident smile can make a world of difference in self-esteem and social interactions.
Read More
case studies 7
Case Study - January 2025
Transforming a Smile: A Full Mouth Rehabilitation Story
When Josh, a 43-year-old professional, came to our office, he had grown increasingly self-conscious about his smile.
Read More
case studies 8
Case Study - December 2024
Transforming Smiles: Gummy Smile Correction and Veneer Makeover in Downtown Portland
When it comes to cosmetic dentistry, every smile has a story, and we’re here to help our patients rewrite theirs.
Read More
crossmenuarrow-right