Case Study Of The Month
The Dental Office
You Can Trust
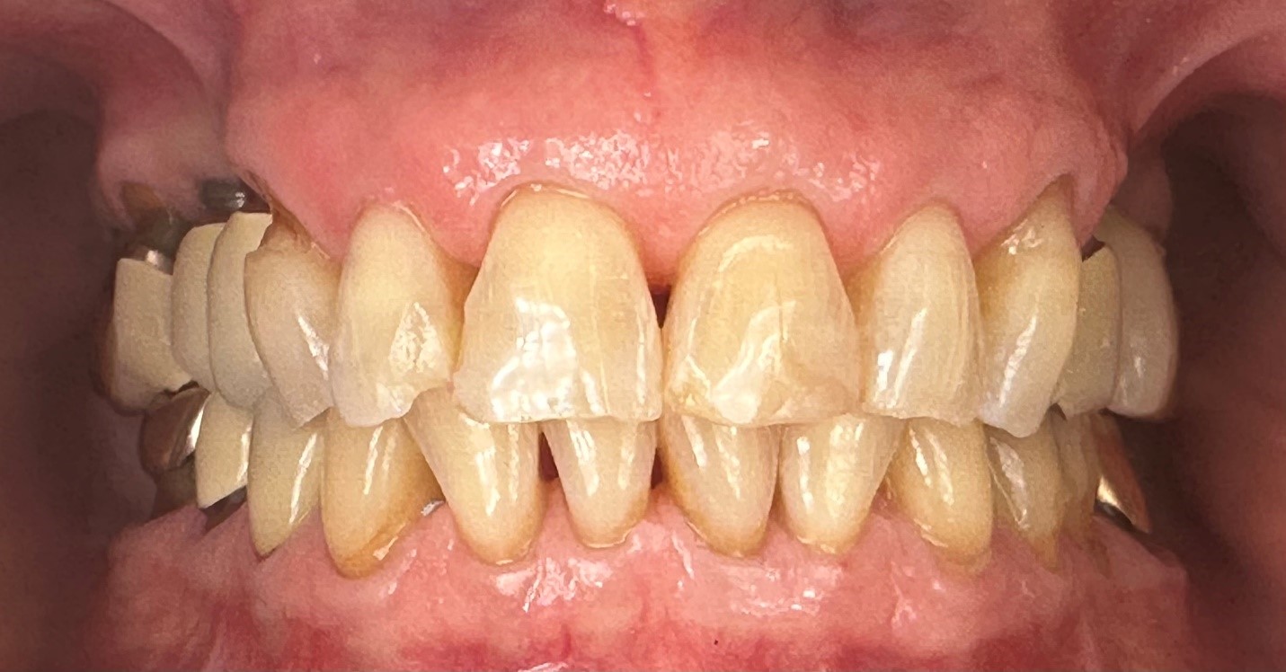
Before

“Behind every smile lies a unique story. Take a peek into the journey of one of our amazing patients who felt self-conscious about her yellow, worn, and chipped teeth, describing them as ‘old lady’s teeth.’ Stay tuned to witness the incredible transformation!”
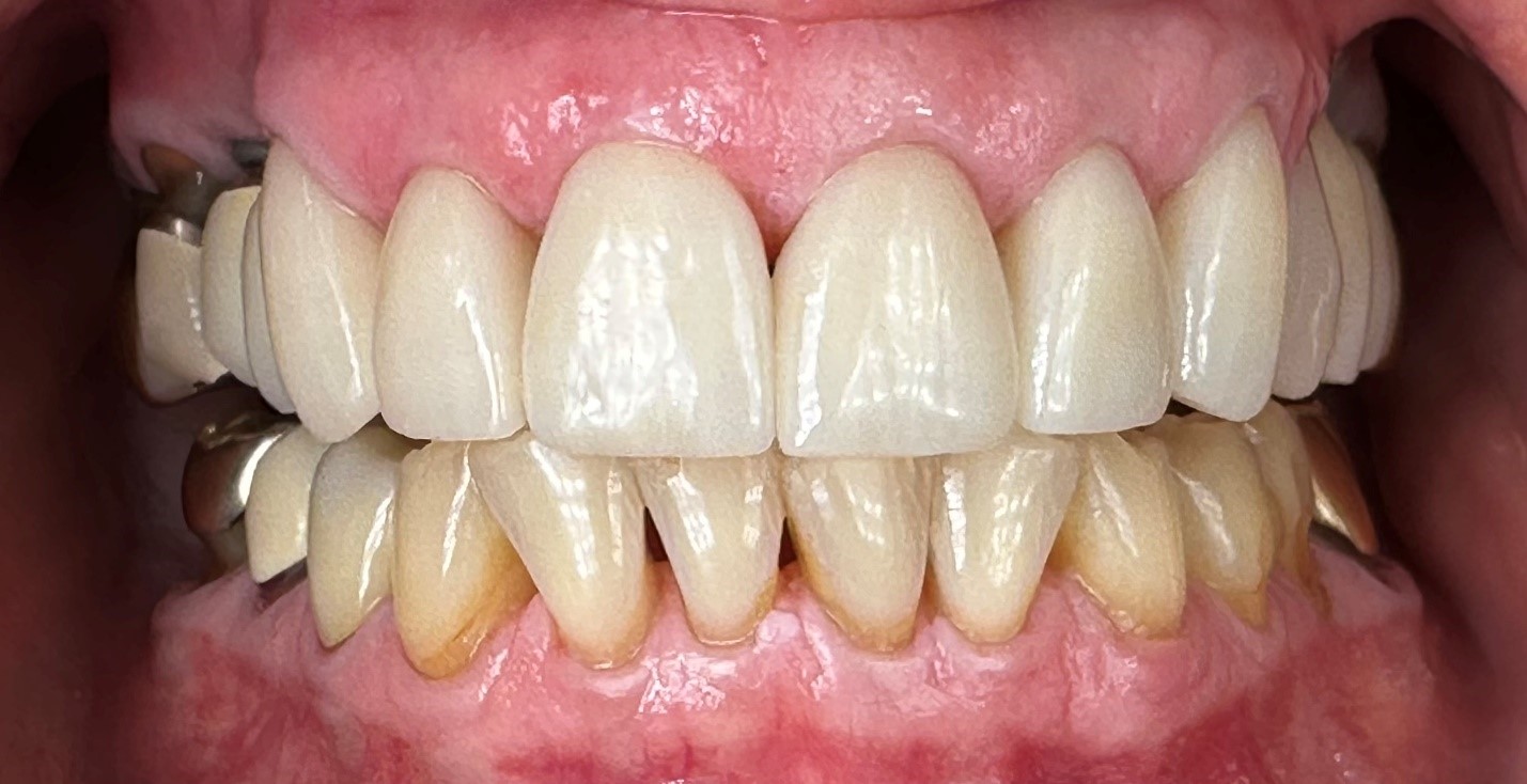
After

“Voila! Witness the magic of cosmetic dentistry at its finest! Our patient’s smile makeover is nothing short of breathtaking. Say goodbye to yellowing, wear, and chipping, and hello to confidence and radiance! What do you think of this stunning transformation? Share your thoughts below! “
“From ‘old lady’s teeth’ to a radiant smile, our patient’s journey is a testament to the power of cosmetic dentistry. We began with a digital smile analysis, meticulously designing porcelain veneers to address wear, chipping, and those pesky ‘black triangles.’ With a teeth-whitening touch for the lower front teeth, the result is a harmonious, luminous smile that exudes confidence! Share your thoughts on this remarkable transformation below! #CosmeticDentistry #VeneerMagic #ConfidentSmiles”
