Cosmetic Dentistry Case Study:
Single Tooth Implant
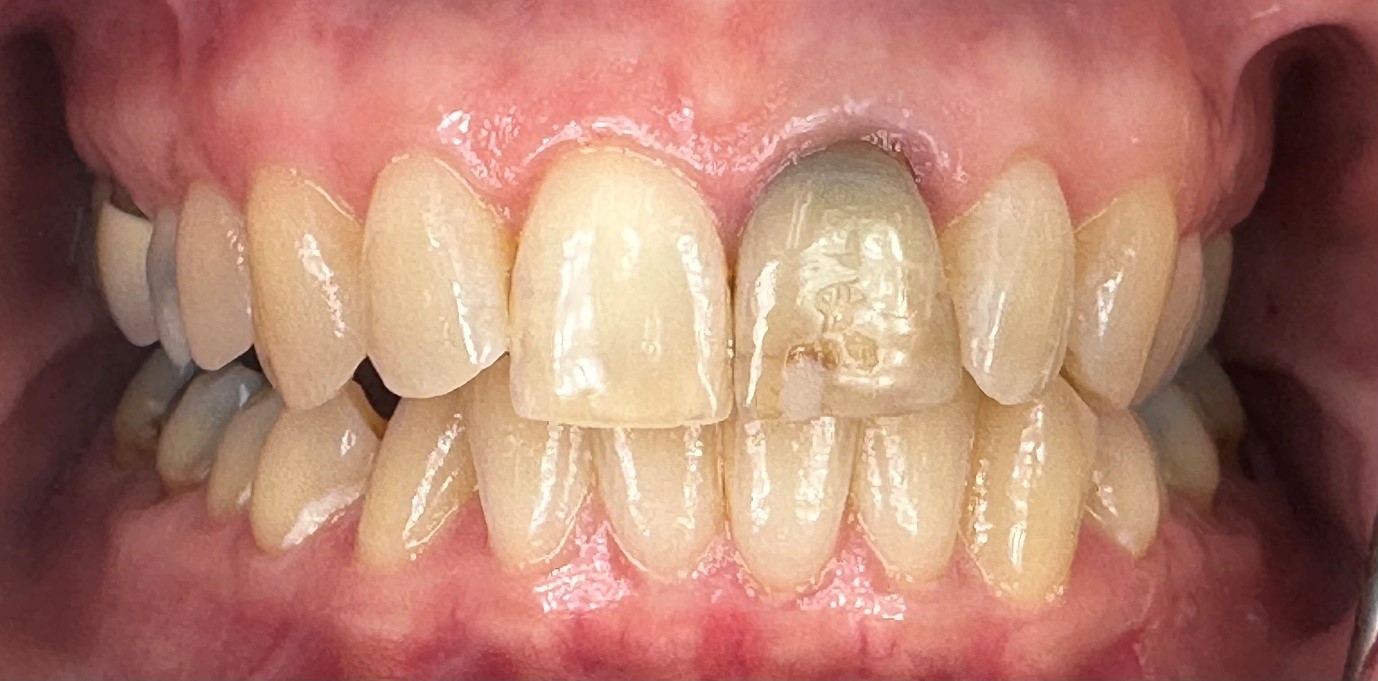
Before

Introduction
In this case study, we explore a remarkable transformation achieved through a single tooth implant for a 45-year-old female patient. The patient initially presented with discomfort and significant discoloration of a front tooth, which had undergone root canal treatment in the past. This post will walk you through the diagnosis, treatment planning, and execution of this successful implant procedure.
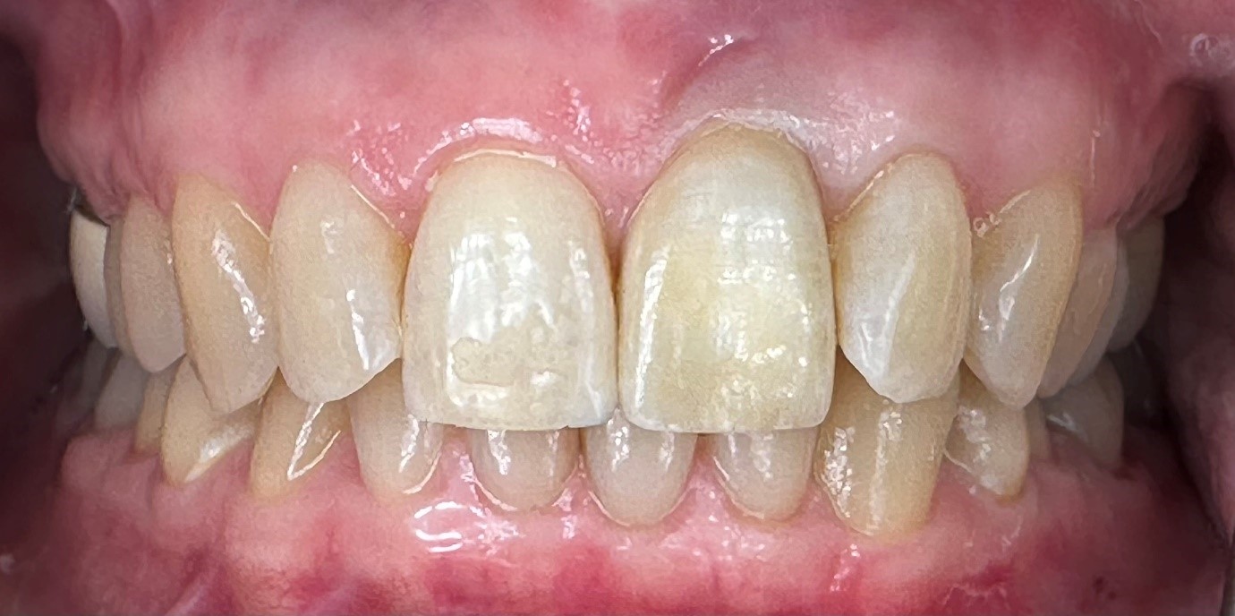
After

Patient Background
Our patient, a 45-year-old female, came to us with concerns about the discomfort and unsightly appearance of one of her front teeth. The discoloration and discomfort were affecting her confidence, and she was eager to find a solution that would restore her smile and eliminate the pain.
Diagnosis and Treatment Planning
Upon conducting a thorough clinical examination and utilizing advanced imaging techniques, including CBCT, we discovered the underlying issues. The affected tooth had a history of root canal treatment but was now suffering from root resorption and a developing infection/abscess. Given the extent of the damage, the tooth was deemed unsalvageable and required extraction.
We discussed the available options with the patient, weighing the pros and cons of a dental bridge versus an implant. The patient opted for the implant due to its longevity and natural appearance.
Surgical Procedure
The procedure was meticulously planned to ensure optimal outcomes. The first step was to atraumatically extract the damaged tooth to preserve the surrounding bone. Immediately following the extraction, we placed a dental implant and performed bone grafting to support the implant. A temporary crown was also placed to maintain the gum tissue’s shape and promote aesthetic healing.
Healing and Final Restoration
The implant was allowed to integrate into the jawbone over a period of four months. This healing period is crucial for the stability and success of the implant. Following this, we collaborated with a skilled ceramist to design and craft a zirconia crown. The final restoration was carefully matched to the adjacent teeth in terms of alignment, contour, and color.
Outcome and Patient Satisfaction
The result was a single-tooth implant that is virtually indistinguishable from the patient’s natural teeth. The patient was thrilled with the outcome, noting the absence of pain and the improved appearance of her smile. She can now speak, smile, and eat with confidence, no longer self-conscious about a dark tooth or worrying about discomfort.
Professional Insights
This case exemplifies the importance of accurate diagnosis, detailed treatment planning, and skilled execution in cosmetic dentistry. Utilizing the latest principles in implant and cosmetic dentistry, we achieved a result that not only restored function but also enhanced the patient’s overall appearance and quality of life.
For anyone considering a full mouth smile makeover or a single tooth replacement, it’s essential to seek a dentist with the right experience and skills. Proper diagnosis and treatment planning are critical to achieving the best possible outcomes.
Conclusion
This single-tooth implant case demonstrates how modern dental techniques and materials can transform a patient’s smile and life. If you’re facing similar issues or considering cosmetic dental procedures, consult with a qualified dentist to explore your options.
