Full and Partial Dentures in Portland, OR
Modern Dentures Provide
A New Reason to Smile

Improve Your Oral Function And Facial Aesthetics
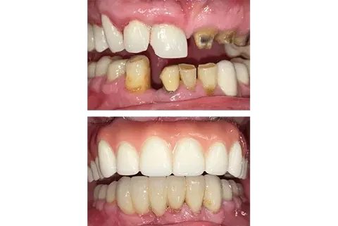
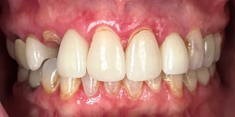
If you’re missing teeth, you may find it difficult to speak or painful to eat, while gaps in your smile can cause you to feel discouraged or self-conscious. Rest assured, you’re not alone—more than 36 million Americans have no teeth and 120 million are missing at least one tooth. If you haven’t considered dentures, keep in mind that modern versions are a far cry from your grandmother’s false teeth! In fact, significant strides have been made in denture materials and techniques in the last few decades. Computer-aided design and computer-aided manufacturing (CAD/CAM) and 3D printing technology are two of the innovations that have streamlined denture fabrication. Modern dentures are an evidence-based and cost-effective method for enhancing smile function and regaining a youthful appearance. Not surprisingly, studies have shown prosthesis quality has a significant impact on patient satisfaction. Just like any other modern dental restoration, all dentures aren’t created equal. Dr. Wang offers high-quality complete and partial dentures in Portland, OR that rely on the latest technology and techniques. If you’re looking for an affordable denture near you, we deliver beautiful, well-fitting dentures at Centerport Cosmetic & Implant Dentistry that offer far better function and aesthetics than dentures of yesteryear!
Versatile Dentures Address Various Needs
At Centerport Cosmetic & Implant Dentistry, we offer complete and partial dentures in Portland, OR. The type of denture we recommend is based on your extent of tooth loss, condition of your remaining teeth, unique smile goals and budget. We also offer implant supported dentures that are a type of hybrid that can be fabricated as a removable or fixed prosthesis for greater stability and function. If you’re looking for an affordable denture near you, we’re dedicated to delivering the most optimal solutions to restore your oral health and smile aesthetics. To make getting top-quality dentures in Portland, OR an attainable dream, we offer highly competitive prices, partner with insurance companies and offer third-party financing.
Types of Dentures

Partial Dentures

Complete Dentures

Implant Supported Dentures

A Smile Customized To You
At Centerport Cosmetic & Implant Dentistry, we deliver complete and partial dentures personalized to your oral health needs and smile goals. Our goal is to provide natural-looking dentures that don’t look like false teeth and fit perfectly. First, Dr. Wang performs a complete oral examination and carefully extracts any unhealthy teeth. After your gums have completely healed, we take measurements of your mouth and take digital impressions. A wax bite is created to establish accurate vertical dimensions and proper jaw position. Then, you’ll receive a physical “try-in” to determine the color, shape and fit of your final dentures. We work with a state-of-the-art dental lab that creates your dentures. Once they come back, you’ll return to our office for a final fitting and Dr. Wang can make small adjustments if needed. Although it can take a short period of time to get accustomed to wearing dentures, they provide many benefits.
Enjoy the Benefits of Dentures
-
Restored smile with natural aesthetics
-
Improved eating function
-
Comfortable, custom-made solution
-
Increased confidence and self-esteem
-
Better facial muscle support
-
Improved speech and enunciation

