
Is Teeth Whitening Safe for Sensitive Teeth?
2025-07-18
Case of the Month: A Digital Smile Design and Dental Implant Transformation in Portland, OR
2025-11-07At Centerport Cosmetic & Implant Dentistry, we take pride in transforming not only smiles but also lives. This month’s featured case showcases the power of modern digital dentistry and artistry in achieving a complete smile makeover for a 61-year-old patient who came to see our downtown Portland cosmetic dentist, Dr. Benjamin Wang.
Patient’s Concern
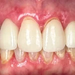
Our patient had upper crowns placed more than 20 years ago and was unhappy with their appearance. He described them as “ugly” and felt that his smile didn’t reflect who he was anymore. Because his upper lip didn’t move much, he showed very little of his upper teeth when smiling, which contributed to an aged look.
Additionally, his lower teeth were worn down, uneven, and crowded, creating both aesthetic and functional issues. Though he didn’t experience any TMJ discomfort, he had a deep overbite and tight overjet, which made designing a natural, lengthened smile more complex.
Treatment Planning: Designing a New Smile
We began with a digital smile design, allowing us to virtually plan the ideal tooth proportions and smile line that would complement his facial features. Once the digital mockup was created, we performed a try-in so the patient could preview his future smile in real life. This step ensured complete confidence before proceeding to treatment.
Restoring Function and Esthetics
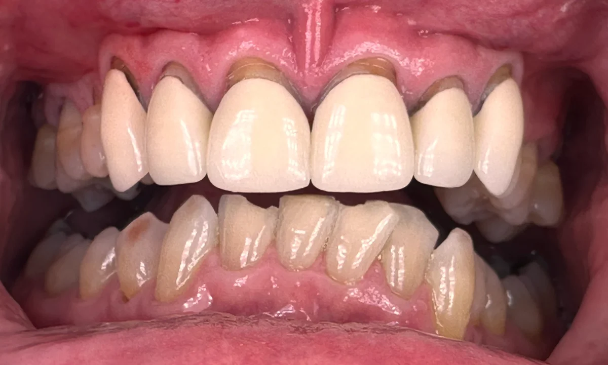
To create enough room for longer, more natural-looking upper front teeth, we needed to open his bite. This was achieved by rebuilding his posterior teeth with new crowns, which increased his vertical occlusal dimension (VDO). With the new bite established, we were able to upright and restore his lower front teeth and enhance his upper front teeth with Emax porcelain crowns and veneers.
Our fully digital workflow — from intraoral scanning to design and fabrication — allowed us to deliver precise, beautifully fitting restorations efficiently.
The Final Result
The outcome was remarkable. The patient’s new smile now reflects a more youthful yet masculine look, with balanced proportions, brighter teeth, and a confident display when smiling. Functionally, his bite is comfortable and stable.
He was absolutely thrilled with the result and expressed that his new smile made him look — and feel — years younger.
All restorations were fabricated by Natural Aesthetics Dental Lab, a trusted partner we’ve collaborated with for over a decade for their exceptional craftsmanship and attention to detail.
Before and After




Transform Your Smile with a Downtown Portland Cosmetic Dentist
If you’re unhappy with your old dental work, worn teeth, or the overall appearance of your smile, a full-mouth rehabilitation may be the perfect solution. Using advanced digital technology, Dr. Benjamin Wang at Centerport Cosmetic & Implant Dentistry custom-designs every smile for ideal function, harmony, and esthetics.
Conveniently located in downtown Portland, our cosmetic and implant dentistry practice specializes in porcelain veneers, smile makeovers, and full-mouth restorations that look completely natural. Schedule your consultation today and discover how we can help you achieve a confident, youthful smile that’s built to last.

