Cosmetic Dentistry Case Study:
Smile Makeover with Porcelain Veneers in Downtown Portland
Before

Introduction
At our Portland cosmetic dental practice, we recently completed a smile makeover for a young female patient in her late 20s who was looking for a more confident smile.
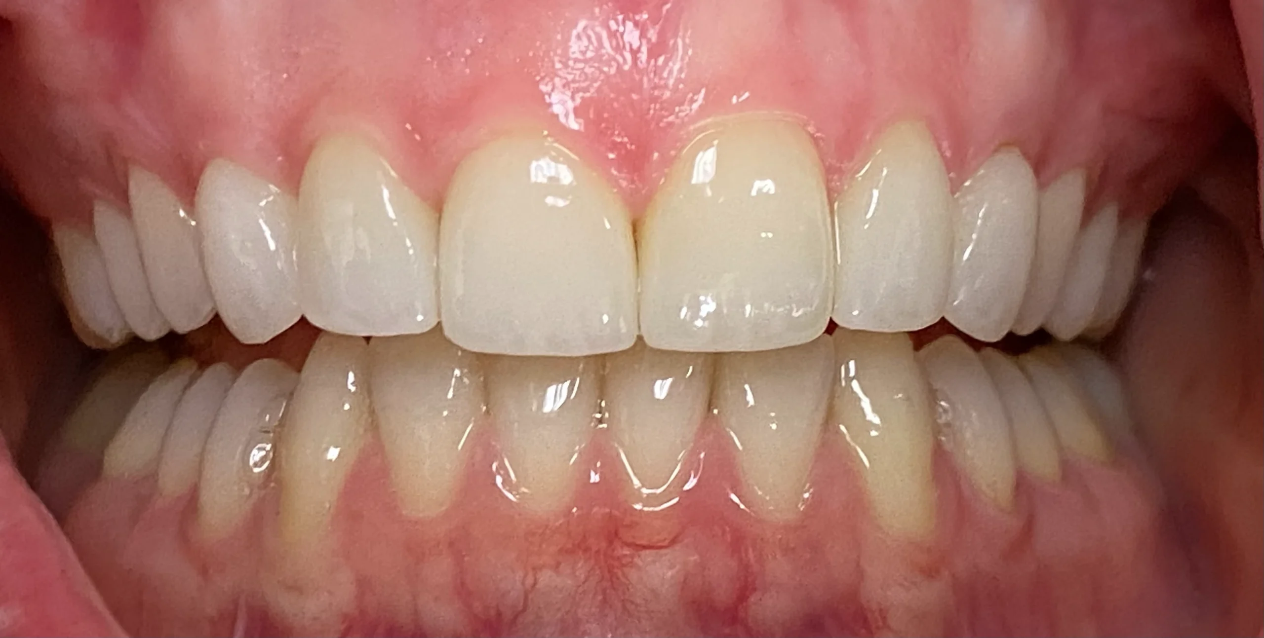
After

Patient’s Concern
The patient’s main concern was the spacing and misalignment of her upper front teeth. While her teeth were healthy, the uneven appearance made her feel self-conscious about smiling in public. She wanted a long-lasting solution that would give her a beautiful, natural-looking smile.
Treatment Options
During the consultation, we discussed several options, including:
- Orthodontics such as braces or Invisalign, which could gradually straighten the teeth and close spaces.
- Cosmetic bonding or porcelain veneers, which could provide immediate results by reshaping and realigning the teeth.
While orthodontic treatment was a possibility, the patient expressed concern about the time commitment and the need for long-term retainer wear after treatment. For that reason, she decided that porcelain veneers would be the best choice.
Smile Design & Planning
We began with a digital smile design, which allowed the patient to see a preview of how her smile could look after treatment. A mockup was created and tried in, giving her the chance to approve the shape and proportions of her future smile before any work began.
The Procedure
To prepare for veneers, we carefully reshaped the teeth by removing a very minimal amount of enamel. This step allowed us to correct the misalignment, close the spaces, and ensure that the veneers would fit naturally.
For the restoration, we selected Emax porcelain veneers because of their:
- Natural aesthetics that closely mimic real enamel
- Durability and strength for long-term wear
- Stain resistance, keeping the smile bright over time
The Results
The outcome was a beautifully balanced, natural-looking smile that instantly corrected the patient’s concerns. She was thrilled with the transformation, especially knowing she wouldn’t need to worry about wearing retainers to maintain her new smile.
Patient’s Reaction
The patient was very pleased with her new veneers and felt a renewed sense of confidence. She described the treatment as “instant gratification,” since it addressed her chief concerns in just a few visits.
