Case Studies
The Dental Office
You Can Trust
Case Studies

Case Study of the Month
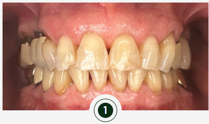
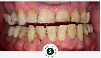
Behind every smile lies a unique story. Take a peek into the journey of one of our amazing patients who felt self-conscious about her yellow, worn, and chipped teeth.

Case Study of the Month 2
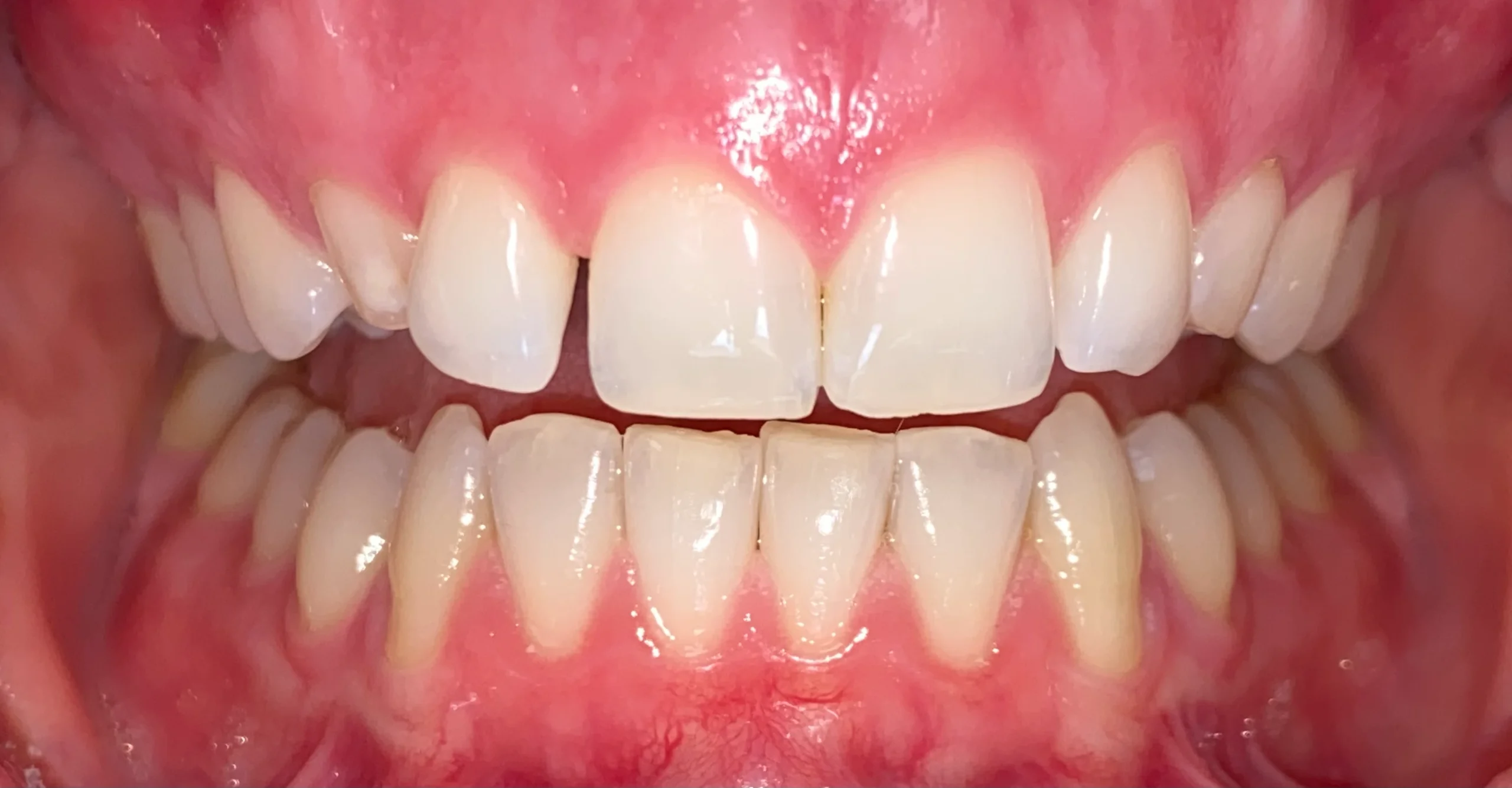
Embarking on a journey of smile transformation with porcelain veneers is both an art and a science.

Case Study - June 2024
We explore a remarkable transformation achieved through a single tooth implant for a 45-year-old female patient.

Case Study - December 2024
When it comes to cosmetic dentistry, every smile has a story, and we’re here to help our patients rewrite theirs.

Case Study - January 2025
When Josh, a 43-year-old professional, came to our office, he had grown increasingly self-conscious about his smile.

Case Study - February 2025
A confident smile can make a world of difference in self-esteem and social interactions.

Case Study - September 2025
We recently completed a smile makeover for a young female patient in her late 20s who was looking for a more confident smile.

Case Study - October 2025
At Centerport Cosmetic & Implant Dentistry, we take pride in transforming not only smiles but also lives.

Case Study - November 2025
We recently completed a full digital smile transformation for a 54-year-old patient who came to us feeling embarrassed about her smile.
